IT Implant System
Intelligent Simplicity
Intelligent Simplicity
IT インプラント システムは、狭い骨に対応するように特別に設計されています。
IT インプラントの本体とねじ山は、挿入が簡単で安定性が最大になるように設計されています。骨幅が細くても使用できる
炎症が起こりにくい構造

強くて細い
上部構造の着脱容易
経年的骨の変化に対応できる

チタン合金(Ti-6 Al-4V合金)
チタン合金を使用することで、高強度を得ることができ、インプラント体の径を細くすることに成功しました。
純国産インプラントは日本人の顎骨にあわせて設計されたデザインです。





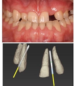
| 主訴 | 上顎側切歯および犬歯欠損 |
| 年齢 | 21歳7ヶ月 |
| 性別 | 女性 |
| 治療説明 | 上の歯、2番目の歯(側切歯)と3番目の歯(犬歯)が左右で先天性欠如をしておりました。 矯正治療で、2番3番目の歯の補綴物が入るスペースを確保。 その後インプラントを埋入し、補綴物を装着しました。 前歯部の先天性欠如の場合、骨が薄いケースが多くみられます。 こちらのケースも院長が開発した細いITインプラントを使用します。 |
| 治療期間 | 1年10ヶ月 |
| 資料提供 | ITデンタルクリニック |


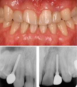
| 主訴 | 上顎前歯および臼歯欠損 |
| 年齢 | 27歳 |
| 性別 | 男性 |
| 治療説明 | 上の歯、2番目の歯(側切歯)と3番目の歯(犬歯)が左右で先天性欠如をしておりました。 矯正治療で、2番3番目の歯の補綴物が入るスペースを確保。 その後インプラントを埋入し、補綴物を装着しました。 前歯部の先天性欠如の場合、骨が薄いケースが多くみられます。 こちらのケースも院長が開発した細いITインプラントを使用します。 |
| 治療期間 | 5ヶ月 |
| 資料提供 | ITデンタルクリニック |